Evaluation de l’admission directe en salle de thrombectomieretrait mécanique d'un thrombus (synonyme de caillot sanguin) dans un vaisseau sanguin, veine ou artère https://fr.wikipedia.org/wiki/Thrombectomie More comparativement à l’admission conventionnelle sur le handicap et la mortalité des patients présentant un infarctusla nécrose des tissus d'un organe à la suite de l'arrêt brutal, ou non, mais prolongé, de la vascularisation https://fr.wikipedia.org/wiki/Infarctus More cérébral sévère par occlusion d’une artère de large calibre : étude randomisée DIRECT ANGIO

Pourquoi l’étude DIRECT ANGIO ?
La problématique
La prise en charge des accidents vasculaires cérébraux (AVCAccident Vasculaire cérébral : un déficit neurologique soudain d'origine vasculaire causé par un infarctus ou une hémorragie au niveau du cerveau https://fr.wikipedia.org/wiki/Accident_vasculaire_cérébral More) représente un enjeu majeur de santé publique en étant la première cause de handicap et la deuxième cause de mortalité en France et dans le monde. 1 personne présente un AVCAccident Vasculaire cérébral : un déficit neurologique soudain d'origine vasculaire causé par un infarctus ou une hémorragie au niveau du cerveau https://fr.wikipedia.org/wiki/Accident_vasculaire_cérébral More toutes les 3 minutes et 75% d’entre eux garderont des séquelles invalidantes à 3 mois. L’AVCAccident Vasculaire cérébral : un déficit neurologique soudain d'origine vasculaire causé par un infarctus ou une hémorragie au niveau du cerveau https://fr.wikipedia.org/wiki/Accident_vasculaire_cérébral More ischémique par occlusion d’une artère de large calibre est la forme la plus grave et la thrombectomieretrait mécanique d'un thrombus (synonyme de caillot sanguin) dans un vaisseau sanguin, veine ou artère https://fr.wikipedia.org/wiki/Thrombectomie More endovasculaire (retrait du caillot par l’intérieur du vaisseau), en association ou non à la thrombolyseconsiste à lyser (désagréger) par médicament les thrombus (caillots sanguins) obstruant les vaisseaux sanguins https://fr.wikipedia.org/wiki/Thrombolyse More intraveineuse (médicament administré par les veines), est devenue le traitement de référence de ce type d’AVCAccident Vasculaire cérébral : un déficit neurologique soudain d'origine vasculaire causé par un infarctus ou une hémorragie au niveau du cerveau https://fr.wikipedia.org/wiki/Accident_vasculaire_cérébral More ischémique depuis 2015.
![]() |
![]() |
![]() |
![]() |
![]() |
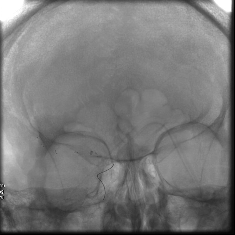
Patient présentant un AVCAccident Vasculaire cérébral : un déficit neurologique soudain d'origine vasculaire causé par un infarctus ou une hémorragie au niveau du cerveau https://fr.wikipedia.org/wiki/Accident_vasculaire_cérébral More ischémique aigue droit en rapport avec une occlusion proximale de l’artère cérébrale moyenne. Thrombolyseconsiste à lyser (désagréger) par médicament les thrombus (caillots sanguins) obstruant les vaisseaux sanguins https://fr.wikipedia.org/wiki/Thrombolyse More intraveineuse puis thrombectomieretrait mécanique d'un thrombus (synonyme de caillot sanguin) dans un vaisseau sanguin, veine ou artère https://fr.wikipedia.org/wiki/Thrombectomie More par voie endovasculaire retrouvant cette occlusion proximale. Reperfusion rapide permettant de limiter l’extension de l’AVCAccident Vasculaire cérébral : un déficit neurologique soudain d'origine vasculaire causé par un infarctus ou une hémorragie au niveau du cerveau https://fr.wikipedia.org/wiki/Accident_vasculaire_cérébral More ischémique et les séquelles neurologiques.
Le contexte
Le traitement de l’AVCAccident Vasculaire cérébral : un déficit neurologique soudain d'origine vasculaire causé par un infarctus ou une hémorragie au niveau du cerveau https://fr.wikipedia.org/wiki/Accident_vasculaire_cérébral More est une urgence et le traitement est d’autant plus efficace que la reperfusion est précoce, avec une perte de chance de bonne évolution de 10% toutes les 30 minutes supplémentaires.
Actuellement, les patients sont pris en charge en service de radiologie (IRMLe terme IRM signifie Imagerie par Résonance Magnétique mais il peut désigner l'examen, l'image ou l'imageur.Pour en savoir + sur l'IRM et son principe More ou scannerune technique d'imagerie médicale qui consiste à mesurer l'absorption des rayons X par les tissus puis, par traitement informatique, à numériser et enfin reconstruire des images 2D ou 3D des structures anatomiques https://fr.wikipedia.org/wiki/Tomodensitométrie More) puis transférés dans un second temps en salle de cathétérisme en cas d’occlusion d’une artère de large calibre pour la réalisation d’une thrombectomieretrait mécanique d'un thrombus (synonyme de caillot sanguin) dans un vaisseau sanguin, veine ou artère https://fr.wikipedia.org/wiki/Thrombectomie More.

Une solution ?
L’admission directe en salle de thrombectomieretrait mécanique d'un thrombus (synonyme de caillot sanguin) dans un vaisseau sanguin, veine ou artère https://fr.wikipedia.org/wiki/Thrombectomie More (sans passer par le service de radiologie) pour réduire les délais de prise en charge intra-hospitalière, et par conséquence le délai de la thrombectomieretrait mécanique d'un thrombus (synonyme de caillot sanguin) dans un vaisseau sanguin, veine ou artère https://fr.wikipedia.org/wiki/Thrombectomie More et donc de la reperfusion cérébrale.
L’hypothèse de l’étude DIRECT ANGIO est que l’admission directe en salle de thrombectomieretrait mécanique d'un thrombus (synonyme de caillot sanguin) dans un vaisseau sanguin, veine ou artère https://fr.wikipedia.org/wiki/Thrombectomie More comparativement à l’admission conventionnelle permet une amélioration du pronostic neurologique à 3 mois chez les patients présentant une forte suspicion d’AVCAccident Vasculaire cérébral : un déficit neurologique soudain d'origine vasculaire causé par un infarctus ou une hémorragie au niveau du cerveau https://fr.wikipedia.org/wiki/Accident_vasculaire_cérébral More ischémique sévère (déficit moteur unilatéral + atteinte corticale) en rapport avec une occlusion artérielle proximale de la circulation antérieure après traitement par thrombectomieretrait mécanique d'un thrombus (synonyme de caillot sanguin) dans un vaisseau sanguin, veine ou artère https://fr.wikipedia.org/wiki/Thrombectomie More ± thrombolyseconsiste à lyser (désagréger) par médicament les thrombus (caillots sanguins) obstruant les vaisseaux sanguins https://fr.wikipedia.org/wiki/Thrombolyse More intraveineuse.
Comment s’organise l’étude DIRECT ANGIO ?
208 patients seront recrutés (dans 13 hôpitaux experts français) en situation d’urgence par les neurologues et/ou neuroradiologues après la réalisation d’un examen neurologique rapide faisant suspecter un AVCAccident Vasculaire cérébral : un déficit neurologique soudain d'origine vasculaire causé par un infarctus ou une hémorragie au niveau du cerveau https://fr.wikipedia.org/wiki/Accident_vasculaire_cérébral More ischémique par occlusion proximale. Cet examen sera effectué dès l’arrivée du patient et avant toute réalisation d’un examen d’imagerie.
Les patients sont ensuite randomisés pour être affectés à l’un des deux groupes :
- Groupe contrôle : patients admis en service d’imagerie puis secondairement transférés en salle de thrombectomieretrait mécanique d'un thrombus (synonyme de caillot sanguin) dans un vaisseau sanguin, veine ou artère https://fr.wikipedia.org/wiki/Thrombectomie More (prise en charge conventionnelle)
- Groupe expérimental : patients admis directement en salle de thrombectomieretrait mécanique d'un thrombus (synonyme de caillot sanguin) dans un vaisseau sanguin, veine ou artère https://fr.wikipedia.org/wiki/Thrombectomie More
L’objectif principal de l’étude
Comparer le taux de patients autonomes à 3 mois (±15 jours) entre la stratégie d’admission directe en salle de thrombectomieretrait mécanique d'un thrombus (synonyme de caillot sanguin) dans un vaisseau sanguin, veine ou artère https://fr.wikipedia.org/wiki/Thrombectomie More par rapport à l’admission conventionnelle chez des patients présentant une suspicion d’infarctusla nécrose des tissus d'un organe à la suite de l'arrêt brutal, ou non, mais prolongé, de la vascularisation https://fr.wikipedia.org/wiki/Infarctus More cérébral sévère par occlusion d’une artère de large calibre de la circulation antérieure.
Les critères d’inclusion et de non inclusion
Critères d’inclusion
- 18 ≤ âge ≤ 85 ans,
- Patient en admission primaire dans le centre participant (pas un transfert d’une UNV de proximité),
- Examen neurologique rapide réalisé par le neurologue du centre participant avant la randomisation,
- Déficit neurologique aigu et sévère définit par :
-
- Déficit moteur unilatéral défini par un score total ≥ 5
- Paralysie faciale (item 4 du score NIHSS de 0 à 2)
- Membres supérieurs (item 5 du score NIHSS de 0 à 4)
- Membres inférieurs (item 6 du score NIHSS de 0 à 4)
- Déficit moteur unilatéral défini par un score total ≥ 5
- ET
- Signe d’atteinte corticale définie par score total ≥ 1
- Langage (item 9 du score NIHSS de 0 à 3)
- Négligence (item 11 du score NIHSS de 0 à 2)
- Signe d’atteinte corticale définie par score total ≥ 1
-
- Patient étant en autonomie complète (mRS≤2) avant le début des symptômes,
- Arrivée à l’hôpital ≤ 5 heures du début des symptômes,
- Disponibilité de la salle de thrombectomieretrait mécanique d'un thrombus (synonyme de caillot sanguin) dans un vaisseau sanguin, veine ou artère https://fr.wikipedia.org/wiki/Thrombectomie More et de l’équipe au moment de la randomisation,
- Patient affilié à un régime de sécurité sociale ou bénéficiaire d’un tel régime.
Critères de non inclusion
- Allergie grave aux produits de contraste (mise en jeu du pronostic vital : dyspnée nécessitant l’administration d’oxygène, œdème laryngé, état de choc, ou arrêt respiratoire et/ou cardiaque)
- Impossibilité de suivi à 3 mois,
- Grossesse connue,
- Femme allaitante,
- Refus du patient (ou de la personne de confiance/proche parent présent) de participer à la recherche,
- Patient mineur non émancipé, majeur protégé ou faisant l’objet d’une mesure de protection légale ou patiente parturiente.
Les centres participants
Promotion & Financement
Le promoteurIl s'agit d'un terme spécifique à la recherche biomédicale. Le promoteur est une personne physique ou morale. Pour les recherches institutionnelles il peut s'agir du CHRU, de l'INSERM, du CNRS, etc. Pour les recherches non-institutionnelles ce sont en général des industries ou des laboratoires privés. Le promoteur a un rôle important dans la recherche biomédicale :
Il prend l’initiative d’une recherche
Il en assure la gestion - S’assure du respect des BPC, des dispositions législatives, etc. (système qualité) - Souscrit à une assurance - Fait le lien avec l’autorité compétente (ANSM) et le CPP - Réalise le suivi de l’étude (monitoring) - Archive les documents (durée d’archivage : 15 ans)
Il vérifie que la recherche a un financement
More de l’étude DIRECT ANGIO est le CHRU de Nancy.
L’étude est financée par la Direction Générale de l’Offre de Soins (DGOSAu sein du ministère chargé de la santé, la direction générale de l’offre de soins (DGOS) se substitue depuis le 16 mars 2010 à la direction de l’hospitalisation et de l’organisation des soins (DHOS). "L’innovation médicale, qu’elle soit technique (acte, dispositif médical, médicament) ou organisationnelle, est une composante incontournable de la qualité des soins et de la performance de l’offre de soins. Grâce aux différents outils dont elle dispose, la DGOS prend en charge l’innovation médicale :
en assurant le financement adapté de la validation des innovations médicales
en facilitant leur évaluation
en permettant leur diffusion optimale aux patients
tout en coordonnant son action avec celles des autres partenaires institutionnels."
Pour en savoir + More) dans le cadre du PHRC interrégional 2018 du groupement régional pour la recherche cliniquecontexte et cadre réglementaire de la collecte des données personnelles (en opposition au soin) More et l’innovation – GIRCI Est à hauteur de 295 990 euros.
En 2021, un don de 25 000 euros a été obtenu auprès de Medtronic.
En 2022 : un don de 5000 euros de MIVI Neuroscience.
Plus d’informations sur l’étude DIRECT ANGIO
Enregistrement sur ClinicalTrials.gov (NCT03969511): ClinicalTrials.gov (NCT03969511)
Publication du protocoleEn recherche clinique, le terme de protocole s'applique à un document qui décrit complètement la recherche : ses objectifs, comment celle-ci va se dérouler, le nombre de sujet qui seront inclus dans l'étude, les intervenants de la recherche, les aspects statistiques, etc.C'est un document essentiel qui est daté et approuvé par le promoteur et l'investigateur. Il sert de base aux autorités compétentes pour prendre la décision, ou non, de mettre en place l'étude et tous les intervenants de l'étude s'engage à le respecter. More sur BMJ Open: https://bmjopen.bmj.com
Etat d’avancement de l’étude DIRECT ANGIO
Contacts
Investigateur coordonnateur
Pr. Benjamin GORY
Adresse : Service de Neuroradiologie Diagnostique et Thérapeutique, CHRU Nancy – Hôpital Central,
29 Avenue du Maréchal de Lattre de Tassigny, 54035 Nancy
Mail :
Tél : +33 3 83 85 95 27
Neurologue référent
Pr. Sébastien RICHARD
Adresse : Service de Neurologie, CHRU Nancy – Hôpital Central,
29 Avenue du Maréchal de Lattre de Tassigny, 54035 NANCY
Mail :
Tél : +33 3 83 85 21 12
Coordinateur d’études cliniques
Aboubaker CHERIFI
Adresse : CIC-IT Nancy – DRCI, CHRU Nancy – Hôpitaux de Brabois, Bâtiment Recherche, RdC,
rue du Morvan, 54511 VANDOEUVRE-LES-NANCY
Mail :
Tél : +33 3 83 15 70 84
Vigilance de la recherche
Dr. Nadine PETITPAIN / Dr. Marie-Lauren ANTOINE
Adresse : Centre Régional de Pharmacovigilance de Lorraine, CHRU Nancy – Bâtiment de Biologie et de Biopathologie – Hôpitaux de Brabois,
rue du Morvan, 54511 VANDOEUVRE-LES-NANCY
Mail :
Tél : +33 3 83 65 60 90 / 60 91










